Obat Herbal Benjolan Di Gusi Atas
Obat Herbal Benjolan Di Gusi Atas >> Benjolan di gusi atas merupakan indikasi adanya penyakit kanker. Kanker mulut bisa tumbuh pada semua bagian mulut, seperti dinding, dasar mulut dan gusi. Kanker mulut termasuk penyakit berbahaya seperti kanker lainnya yang bukan mustahil membawa penderitanya pada kematian.
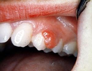
Benjolan di gusi biasanya tidak berbahaya, mungkin tidak nyaman bahkan menyakitkan. Benjolan karean sariawan bisa hilang dengan sendirinya tanpa pengobatan. Benjolan di gusi yang terlihat seperti jerawat dapat disebabkan kemungkinan kondisi, seperti makanan atau karena iritasi. Dalam kebanyakan kasus mereka dapat mengatasinya sendiri, tapi anda perlu memeriksakannya ke dokter jika benjolan berlanjut untuk jangka waktu yang panjang atau menjadi
lebih buruk dari waktu ke waktu yang panjang terus menerus, karena tu
patut dicurigai adanya kanker.
Tanda dan Gejala Kanker Mulut
- Bisul disekitar mulut yang tidak dapat bisa disembuhkan
- Gumpalan atau penebalan kulit mulut
- Gigi tanggal
- Susunan gigi yang tidak rata
- Nyeri pada lidah
- Nyeri atau kaku pada rahang
- Nyeri atau sulit untuk mengunyah
- Nyeri atau sulit untuk menelan
- Sakit tenggorokan
- Perasaan seperti ada yang mengganjal di tenggorokan
Kanker mulut terjaid karena sel DNA di bibir atau di mulut mengatasi mutasi. Mutasi ini membuat sel tetap tumbuh dan berkembang, seperti sel normal lain memilki siklus hidup dan mati. Akumulasi sel kanker mulut ini dapat membentuk tumor. Dapat menyebar ke
daerah lain di kepala dan leher serta juga dapat menyebar ke bagian
tubuh lain. Kanker mulut paling banya berawal dari sel tipis yang
melapisi bibir dan bagian dalam mulut (squamouns cells). Tidak jelas apa
yang menyebabkan sel ini bermutasi. Tapi dokter telah mengidentifikasi
faktor yang meningkatkan risiko kanker mulut.
Faktor Risiko Terkena Kanker Mulut
- Mengkonsumsi tembakau baik itu dengan merokok atau mengunyah tembakau
- Mengkonsumsi alkohol
- Terlalu banyak terkena matahari pada bibir
- Virus seksual menular yang disbeut virus HPV
- Pernah mengalami kanker sebelumnya
- Pengobatan radiasi pada area kepala dan leher
Obat Herbal Benjolan Di Gusi Atas
Ace Maxs adalah obat herbal multi khasiat 100% alami yang mampu mengobati benjolan di gusi atas secara tuntas. Ace Maxs terbuat dari perpaduan esktrak kulit manggis dan daun sirsak yang dikombinasikan dengan bahan alami lainnya seperti apel, anggur, bunga rosella hitam serta madu murni sebagai pengawet dan pemanis alami sehingga aman dan tidak akan menimbulkan efek samping sama sekali. Ace Maxs diolah dengan menggunakan teknologi terkini dan dikendalikan oleh tangan-tangan para ahli dari disiplin ilmu, seperti ilmu gizi, kesehatan, teknologi makanan-minuman. Selain itu, Ace
Maxs ini juga di proses melalui beberapa tahap ferivikasi sehingga
sangat terjaga akan keaslian khasiat alami yang terkandung di dalamnya. Ace Maxs juga telah terdaftar di DEPKES RI P-IRT No. 113317401444-17 dan BPOM RI TI POM TR. 142 680 331 sehingga kualitas mutu sudah terjamin keamanannya.
“Khasiat kulit manggis”
banyak mengandung berbagai macam zat yang sangat bermanfaat untuk
kesehatan, salah satunya adalah kandungan Zat Xanthone. Zat xanthone merupakan
kandungan antioksidan yang sangat tinggi, kandungan antioksidan dalam
zat xanthone bahkan melebihi kandungan antioksidan yang terkandung dalam
vitamin C. Zat xanthone ini mampu
menangkal sekaligus menghancurkan zat radikal bebas yang sangat
berbahaya bagi kesehatan, karena radikal bebas ini bisa menyebabkan
berbagai penyakit tumbuh dalam tubuh
kita. Salah satu penyakit yang di sebabkan oleh radikal bebas adalah
kanker dintaranya kanker tiroid , kanker ginjal, kanker paru-paru, kanker prostat, kanker hati dan kanker otak. Maka dari itu radikal bebas sangat perlu untuk di hilangkan.
Sedangkan, “daun sirsak”
mengandung zat acetogenin,zat ini adalah zat anti kanker yang mampu
menghancurkan sel kanker secara tuntas, dan daya kerja dari zat
acetogenin ini bahkan 10.000 kali
lebih kuat di bandingkan dengan kemotrapi. Lebih hebatnya lagi kandungan
zat acetogenin bersifat selektif dalam menjalankan tugasnya, hanya sel-sel yang jahat dan berbahaya bagi kesehatan saja yang di serang oleh zat acetogenin ini.Jerry McLaughlin seorang peneliti dari Purdue University juga menyatakan bahwa
zat accetogeninns dalam daun sirsak sangat efektif untuk menghentikan
sekaligus menghancurkan pertumbuhan semua jenis sel kanker.
Keunggulan Utama Dalam Ace Maxs
- Konsumsi malam hari membuat tidur lebih nyenyak
- Konsumsi pagi hari menambah energi dan vitalitas
- Membantu mencegah penuaan dini (anti aging)
- Membantu meningkatkan hormon pada pria dan wanita
- Membantu mengatasi penyakit degeneratif (jantung, kanker, stroke, diabetes, alzheimer, HIV/AIDS) dan berbagai penyakit lainnya. Fungsi pencegahan dan pengobatan (preventive dan curative)
Klik Disini Untuk Info Dan Cara Pemesanan
Daftar Harga Ace Maxs
Format Pemesanan Ace Maxs
ACE : Jumlah Pesanan : Nama : Alamat Lengkap : No.Hp
Kirim Ke : 085723412587


Tidak ada komentar:
Posting Komentar